Cabinet de Chirurgie Dentaire & Implantologie Orale du Dr VINAY
OMNIPRATIQUE ORIENTÉE EN ODONTOLOGIE CHIRURGICALE & PARODONTOLOGIE
(Prise en charge possible avec Sédation au MEOPA & Anesthésie Générale en Clinique)
Cabinet de Chirurgie Dentaire & Implantologie Orale du Dr VINAY

SELARL Dr VINAY 65 Route de Lavérune Centre Médical Estanove
34070 MONTPELLIER

OMNIPRATIQUE ORIENTÉE EN ODONTOLOGIE CHIRURGICALE & PARODONTOLOGIE
(Prise en charge possible avec Sédation au MEOPA & Anesthésie Générale en Clinique)

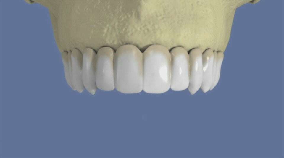
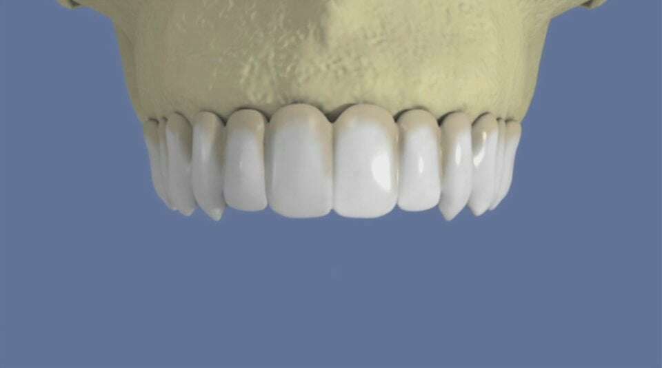
Maxillaire : bridge vissé sans fausse gencive


video-play-icon